找回密码
 立即注册
搜索
查看: 65|回复: 0

[人教版] (必修1)第1节 细胞的增殖(课时3)(解析版)(导学案4)

[复制链接]

4万

主题

224

回帖

19万

积分

管理员

积分
199048
发表于 2026-4-11 16:27:22 | 显示全部楼层 |阅读模式
第1节 细胞的增殖(第三课时)
【学习目标】
1. 利用物理模型,借助数学计算的方法,说明细胞不能无限长大的原因,明确细胞增殖的意义。
2. 通过制作根尖分生区组织细胞有丝分裂的临时装片,并观察处于细胞周期不同阶段的植物细胞,提升临时装片制作和显微镜操作技能。
3. 通过观察分析显微图像和模式图,概述有丝分裂各时期的主要特征,阐明细胞周期的概念。
【课前学习】
观察根尖分生组织的有丝分裂
1.实验原理
(1)在高等植物体内,有丝分裂常见于根尖、芽尖等_________细胞。
(2)由于各个细胞的分裂是独立进行的,因此在同一分生组织中可看到处于不同分裂时期的细胞。 在高倍显微镜下,根据_________的存在状态,识别有丝分裂的不同时期。
(3)染色体容易被_________(如甲紫溶液,旧称龙胆紫溶液)着色。
2.实验流程
(1)取材:提前几天培养洋葱,从根尖_________处切取数条洋葱根尖。
(2)解离:用镊子夹取根尖立即放入盛有盐酸和_________的培养皿中,在室温下解离软化3~5分钟,目的是用药液使组织中的细胞____________
(3)漂洗:将根尖放在培养皿的清水中漂洗约10分钟,洗去_________,防止解离过度,便于染色。
(4)染色:将以上处理的根尖放在滴有一滴_________或醋酸洋红液的载玻片上,使染色体着色。
(5)制片:用镊子将这段根尖取出来,放在载玻片上,加一滴清水,并用镊子尖把根尖_________,盖上盖玻片,然后,用拇指轻轻地按压_________使细胞分散。
(6)观察:先用低倍镜找到正方形、_________的分生区细胞,再换用高倍镜观察各分裂时期的图像特点。
1.(1)分生区  (2)染色体  (3)碱性染料  2.(1)2~3 mm  (2)酒精  相互分离开来  (3)解离液  (4)甲紫溶液  (5)弄碎  盖玻片  (6)排列紧密
【课上学习】
任务一:以不同边长的立方体作为物理模型,通过数学计算,说出细胞大小与物质运输效率之间的关系,明确细胞不能长大的原因。
1.琼脂模拟细胞实验
将琼脂块切成边长分别为4 cm2 cm1 cm的正方体,如图:

0fb014ee036bc6537ca036bd7307ba44.png
(1)分别计算它们表面积和体积的比值填入下表
琼脂块边长cm
体积/cm3
表面积/cm2
表面积与体积之比
1
1
6
2
8
24
4
64
96
(2).琼脂块的相对表面积(表面积与体积之比)随着琼脂块体积的增大,发生了什么变化?
(3)细胞体积与相对表面积和细胞的物质运输效率有什么关系?
以上事实说明__________________的关系是限制细胞不能无限长大的重要因素之一。细胞核细胞质之间的比例都是限制细胞不能无限长大另一个原因。
2.思考:细胞是不是越小越好?
3.总结细胞不能无限很长大的原因
任务二:学习制作根尖分生区组织细胞有丝分裂临时装片的方法,对比模式图,分析显微图像中细胞周期不同阶段的植物细胞形态特点
【课后练习】
1.在显微镜下观察洋葱根尖细胞的有丝分裂现象时,可看到图中箭头所指的细胞所处的分裂时期。下列对该时期的描述,正确的是(    )

5e518556487491cc35df4a6f9fda2773.png A.中心体发出的纺锤丝牵引染色体移动到细胞两极
B.染色体形态刚开始出现,适合观察染色体的形态
C.细胞中染色体数目和DNA均为体细胞的两倍
D.细胞中央形成完整的细胞板,完成细胞质分配
2.下图是“制作并观察植物细胞有丝分裂的临时装片”活动的细胞分裂图,有关叙述正确的是(    )

ba88f39fcec2014269fb21ba558103c3.png
A.将经盐酸处理后的根尖放在载玻片上,滴加龙胆紫溶液染色
B.植物细胞中不同结构成分与龙胆紫染液结合能力不同
C.持续观察甲细胞,可观察到细胞依次出现图乙、丙、丁所示分裂时期
D.甲→乙→丙→丁可表示一个完整的细胞周期
3.某同学描述观察到的细胞:从细胞两极发出纺锤丝,形成纺锤体,染色体散乱分布在细胞的中央。可推测他观察到的是(    )
A.高等植物细胞分裂前期        B.高等植物细胞分裂中期
C.动物细胞分裂前期        D.动物细胞分裂中期
4.下列关于生物实验的说法中,错误的是(    )
A.洋葱根尖有丝分裂装片制作步骤是:解离→漂洗→染色→制片
B.在紫色洋葱表皮细胞发生质壁分离复原的过程中,液泡由小到大,紫色由深变浅
C.利用无水乙醇可以提取叶绿体中的色素
D.在叶绿体中色素分离的实验中,扩散得最慢的是叶绿素a

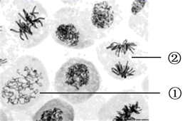
69eb69fc41bb37580e96cbfe1d58092d.png 5.图是在光学显微镜下观察到的洋葱根尖细胞有丝分裂的照片。下列相关叙述错误的是(    )
A.细胞不同结构成分与染料结合能力不同
B.A细胞代表的时期不属于分裂期
C.B与D细胞含有的核DNA含量不同
D.C细胞中细胞板的形成与高尔基体有关
6.下列有关制作并观察植物细胞有丝分裂的临时装片实验的叙述,正确的是(    )
A.解离的目的是使染色体离开细胞核
B.漂洗的目的是洗去染色剂,避免染色过度
C.在高倍镜下观察可观察到染色体的动态变化
D.使用龙胆紫溶液的目的是使染色体着色
7.下列关于观察洋葱根尖分生区细胞有丝分裂实验的操作与效果的叙述,正确的是(    )
A.遗漏了解离过程,可能无法清晰观察到分生区细胞
B.遗漏了漂洗过程,可能无法清晰观察到纺锤体
C.延长染色的时间,可以更好地观察染色体的形态
D.发现分裂中期的细胞,适当等待可观察到后期的出现
8.用高倍显微镜观察洋葱根尖细胞的有丝分裂,下列描述不正确的是(    )
A.视野中不同细胞的染色体数目可能不相等
B.漂洗的目的是洗去解离液,防止解离过度
C.观察处于分裂中期的细胞,可清晰看到赤道板和染色体
D.视野中不可以观察到一个细胞连续的分裂过程
9.某同学用紫色洋葱(2n=16)制备临时装片观察细胞的有丝分裂,显微镜下的图像如图所示,下列叙述正确的是(    )

30cb6863c092d41a9710f8a8ee06f769.png
A.该实验制作装片的流程为解离→染色→漂洗→制片
B.镜检时需要先在低倍镜下找到分生区细胞
C.细胞有32条染色体有64条染色体
D.在高倍显微镜下可以观察到细胞中染色体向赤道板的位置缓慢移动
10.下列关于运用模型解释细胞不能无限长大的原因活动的说法,错误的是(    
A.细胞模型的表面积与体积之比随琼脂块体积的增大而增大
B.外界物质在不同大小的细胞模型中扩散速度相同
C.不同边长的正方体模拟细胞的大小
D.通过模拟实验可以看出细胞体积越大,物质运输的效率越低
11.洋葱是中学生物实验常用材料之一,如图是与洋葱有关实验的部分步骤,请据图回答:

5334b95974a60b53f01b517faf8b12fd.png
(1)表示提取洋葱叶片色素时的研磨步骤,研钵中加无水乙醇的作用_____,研钵中除了加无水乙醇还需要加入的化学试剂有_____。
表示符合要求的滤纸条,但该滤纸条层析一段时间后,滤纸条上无色素带出现,最可能的原因是_____。
表示观察洋葱根尖细胞有丝分裂时装片制作的压片步骤,该步骤的目的是_____,将酥软的根尖放在载玻片上的水滴中,盖上盖玻片后,还要进行的操作是_____,制作临时装片的流程为:_____。
表示在低倍镜下观察洋葱根尖细胞时的一个视野,若要在高倍镜下观察洋葱细胞染色体的形态和数目,最好选择观察_____期细胞进行观察。
用洋葱根尖作为实验材料的主要原因是_____。
(2)若要探究植物细胞的吸水和失水,最好选择用洋葱紫色鳞片叶_____(填“内”或“外”)表皮为材料,使盖玻片下面的洋葱鳞片叶表皮细胞浸润在蔗糖溶液中,用高倍镜观察时能看到中央液泡体积逐渐变小,细胞发生_____现象,发生此现象的内因是_____。
12.下图是在显微镜下观察洋葱根尖细胞有丝分裂的图像,请回答下列相关问题:

92eb0d43a2f3347f03f0b8cbbde0617b.png (1)观察洋葱根尖细胞有丝分裂装片时,应找到____________(填分生区成熟区)的细胞进行观察。
(2)在一个视野中大多数的细胞处于____________(填分裂间期分裂期),该时期细胞中发生的主要变化是____________。
(3)图中的A细胞处于分裂期的前期,B细胞处于分裂期的____________期。
(4)染色体容易被下列____________染料着色。
A.斐林试剂    B.苏丹Ⅲ    C.甲紫溶液    D.醋酸洋红液
参考答案
1.C  洋葱根尖细胞是高等植物细胞,没有中心体,A错误;图中箭头所指细胞处于有丝分裂的后期,染色体已经开始分离,不适合观察染色体的形态,B错误;在有丝分裂间期核DNA经过复制加倍,后期时细胞中着丝点分裂,染色体数目加倍,是体细胞的两倍,所以细胞中染色体数目和核DNA均为体细胞的两倍,C正确;该细胞处于有丝分裂后期,细胞板还没有出现,D错误。
2.B  首先根尖要先经过解离液的处理,然后需要漂洗后才能进行染色,A错误;龙胆紫这样的碱性染料易与染色体结合,不易和其他结构结合,B正确;有丝分裂的实验过程中细胞已经死亡,故不能看到细胞依次出现图乙、丙、丁所示分裂时期,C错误;甲→乙→丙→丁可表示有丝分裂的分裂期,一个完整的细胞周期还包括间期,D错误。
3.A  植物细胞分裂前期,纺锤体由细胞两极发出的纺锤丝形成,此时染色体散乱的分布在细胞中央,与题干相符,A正确;纺锤体是有丝分裂前期形成的,B错误;动物细胞有丝分裂前期,纺锤体是由中心体发出星射线形成的,与题干不符,C错误;据以上分析可知,该细胞应该是植物细胞,D错误。
4.D  洋葱根尖有丝分裂装片制作步骤是:解离→漂洗→染色→制片,A正确;在紫色洋葱发生质壁分离复原过程中,细胞不断的吸水,液泡由小变大,紫色变浅,B正确;叶绿体色素提取的原理是色素可以溶于有机溶剂而不溶于水,所以可以利用无水乙醇或者丙酮等有机溶剂来提取叶绿体色素,C正确;色素分离的原理是色素在层析液中的溶解度越大,扩散速度越快,所以位于滤纸条最上面打的胡萝卜素扩散的最快,而位于最下面的叶绿素b扩散得最慢,D错误。
5.C  细胞不同结构成分与染料结合能力不同,染色体易被碱性染料染成深色,A正确;由图可知,A细胞中核膜、核仁并未消失,所以处于分裂间期,不属于分裂期,B正确;B与D细胞内DNA都经过了复制,二者核DNA含量都是正常体细胞核DNA的2倍,含量相同,C错误;C细胞中细胞板最终扩展成细胞壁,而高尔基体与细胞壁的形成有关,故C细胞中细胞板的形成与高尔基体有关,D正确。
6.D  解离的目的是使组织细胞相互分离,A错误;漂洗的目的是洗去药液(解离液),避免解离过度,B错误;解离时已导致细胞死亡,因此在高倍镜下不能观察到染色体的动态变化,C错误;龙胆紫是碱性染料,可使染色体着色,D正确。
7.A 遗漏了解离过程,这样细胞不能彼此分离,即相互重叠,因此实验结果很可能是无法清晰观察到分生区细胞,A正确;遗漏了漂洗过程,而漂洗的作用是洗去解离液,便于染色,因此其实验结果很可能是无法清晰观察到染色体,B错误;延长染色的时间,会导致其它部位也被染成深色,无法分辨染色体,C错误;细胞通过解离,已经死亡,发现分裂中期的细胞,该细胞不能继续分裂,也就不能观察到后期的出现,D错误。
8.C  视野中不同细胞的染色体数目可能不相等,如有丝分裂后期的染色体数目与其他时期不同,A正确;漂洗的目的是洗去根尖上的药液(解离液),防止解离过度,B正确;赤道板不是真实存在的结构,观察不到,C错误;该实验中,细胞经过解离已经死亡,所以视野中不可以观察到一个细胞连续的分裂过程,D正确。
9.B  观察有丝分裂的实验中,制片的步骤为解离→漂洗→染色→制片,A错误;镜检时需要先在低倍镜下找到分生区细胞,再转换到高倍镜进行观察,B正确;图①为前期,染色体数就为16,图②为后期,染色体数就为32,C错误;图中细胞经过解离,已经失去活性,所以不能观察到细胞中染色体向赤道板的位置缓慢移动的过程,D错误。
10.A  体积越大,相对表面积越小
11.【答案】(1)    溶解色素    碳酸钙和二氧化硅    层析液没过了滤液细线    使细胞分散开    再加盖一片载玻片后用拇指轻轻按压    解离→漂洗→染色→制片    中    有丝分裂旺盛    (2)    外    质壁分离    原生质层的伸缩性大于细胞壁的伸缩性   
【解析】(1)色素易溶于有机溶剂,故提取洋葱叶片色素时研钵中加无水乙醇的作用是溶解色素;结合分析可知,研钵中除了加无水乙醇还需要加入的化学试剂有碳酸钙(防止色素被破坏)和二氧化硅(使研磨更充分)。表示符合要求的滤纸条,但该滤纸条层析一段时间后,滤纸条上无色素带出现,最可能的原因是层析液没过了滤液细线,色素溶解到层析液中,导致无色素带出现。表示观察洋葱根尖细胞有丝分裂时装片制作的压片步骤,该步骤的目的是使细胞分散开;将酥软的根尖放在载玻片上的水滴中,盖上盖玻片后,还要进行的操作是再加盖一片载玻片后用拇指轻轻按压,以使细胞分离;制作临时装片的流程为:解离→漂洗→染色→制片。中期时染色体形态稳定、数目清晰,是观察染色体的最佳时期,故若要在高倍镜下观察洋葱细胞染色体的形态和数目,最好选择观察中期细胞进行观察。洋葱根尖(分生区)细胞分裂旺盛,因此选用洋葱根尖作为实验材料。(2)要探究植物细胞的吸水和失水,洋葱紫色鳞片叶外表皮细胞中液泡为紫色,最好选择用洋葱紫色鳞片叶外表皮为材料,便于观察;使盖玻片下面的洋葱鳞片叶表皮细胞浸润在蔗糖溶液中,用高倍镜观察时能看到中央液泡体积逐渐变小,细胞发生质壁分离现象,发生此现象的内因是原生质层的伸缩性大于细胞壁的伸缩性。
12.【答案】分生区    分裂间期    DNA的复制和有关蛋白质的合成    中    CD   
【解析】(1)洋葱根尖分生区细胞呈正方形,排列紧密,有的正在有丝分裂,故观察洋葱根尖有丝分裂装片时,应找到分生区的细胞进行观察。(2)细胞周期中分裂间期的时间长,因此在一个视野中大多数的细胞处于分裂间期;此时细胞中发生的主要变化是DNA的复制和有关蛋白质的合成。(3)据图可知,B细胞中染色体的着丝点都排列在赤道板上,处于分裂的中期。(4)染色体易被碱性染料染成深色,如甲紫溶液和醋酸洋红染色,故选CD。
您需要登录后才可以回帖 登录 | 立即注册

本版积分规则

Archiver|手机版|小黑屋|5432教案网 ( 蜀ICP备2022024372号-1 |川公网安备51152402000101号 )|网站地图

GMT+8, 2026-5-29 00:59 , Processed in 1.647130 second(s), 31 queries .

Powered by Discuz! X3.5

© 2001-2026 Discuz! Team.

快速回复 返回顶部 返回列表